THE FIRST DERMATOLOGIC CLINIC
잘하기 때문에 많이 합니다.
많이 하기 때문에 많이 보유합니다.
써마지는 숙련된 의료진의 테크닉이 중요합니다.
써마지 마스터란 써마지 본사의 User – Advanced – Master
3개의 전 과정을 모두 이수한 의료진에게 주어지는 자격으로,
더퍼스트피부과의 의료진 5인은 써마지 마스터 코스를 모두 수료하였습니다.
더 잘하니까 더 많이 합니다.
| 1월 총결제액 ₩86,832,000 |
8월 총결제액 ₩28,944,000 |
|
| 3월 총결제액 ₩28,944,000 |
10월 총결제액 ₩57,888,000 |
|
| 5월 총결제액 ₩57,888,000 |
11월 총결제액 ₩46,200,000 |
|
2년 연속 부산 경남 울산 압도적 정품팁 소모량
써마지FLX
울쎄라피프라임
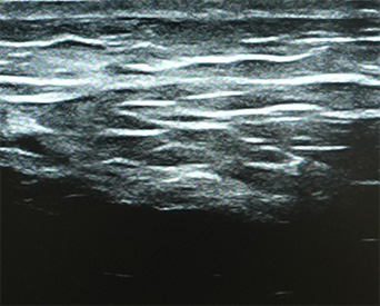
기존 울쎄라 초음파는 8mm 깊이까지만 확인 가능해
지방층이나 뼈 깊이 등 피부 내부 전체 구조를 보기 어렵습니다.
이를 보완하기 위해 더퍼스트피부과는 4cm 깊이까지 확인 가능한
최신형 진단 초음파 장비를 도입하여 피부 진피-지방-근육-뼈 깊이까지
정밀하게 파악하여 에너지와 샷수를 조절하는 시술 플랜을 세웁니다.
피부층의 깊이, 밀도나 노화정도를 파악하고 이전의 수술력이나 특이사항도
분석 가능하여 얼굴에 금속핀이 있는 경우에도 시술이 가능합니다.
울쎄라 초음파
DEEP SONO™ 초음파
더퍼스트피부과는 전 의료진이 써마지 FLX 임상자문의로
풍부한 임상경험과 데이터를 바탕으로 과학적인 1:1 시그니처 플랜과 함께 합니다.

TARGETING
풍부한 임상 경험의 피부과 전문의가 세심한 진단으로,
시술 깊이와 방향, 최적의 강도와 샷 수까지
당신만을 위한 완벽한 맞춤 설계를 완성합니다.
기존 써마지 리프팅을 뛰어넘는 차별화된 결과,
더퍼스트 써마지 FLX로 만나세요.
3단계 시그니처 써마지플랜
3단계 피부 분석을 통해 골격 및 피부 두께에 따른
1:1 시그니처 플랜을 세워 진행합니다.
써마지 마스터 의료진
똑같은 600샷 시술이라도
써마지 마스터의 노하우는 따라올 수 없습니다.
PERSONAL CARE
더퍼스트피부과는 울트라 퍼스널 케어 시스템을 통해 고객 한 분만을 위한
전담팀이 시술부터 회복까지 맞춤 관리 서비스를 제공합니다.
1+1+1 = 3이 아닌 10 이상의 가치를 느낄 수 있도록

PRINCIPLE
써마지 FLX 시술은 고주파(RF) 에너지를 피부 진피층 깊숙이 전달하여
콜라겐을 자극하고 재생을 유도하는 리프팅 시술입니다.
고주파 에너지가 피부에 닿으면 진피층과 피하지방층까지 열이 전달되어
기존 콜라겐 섬유가 수축하고, 이 후 자연스럽게 새로운 콜라겐이 생성되어
피부 탄력이 개선되고 주름이 완화됩니다.
더퍼스트피부과는 울쎄라피 프라임 공식 정품 인증 병원으로
피부 속을 보고, 꼭 필요한 샷만, 정확한 부위에 효과적으로 시술합니다.
이전 세대에 비해 시술 팁 크기가 커져
한 번에 넓은 부위 시술이 가능해졌으며,
시술 시간이 단축되고 고주파 에너지의
전달 깊이도 더 깊어졌습니다.
부위별로 피부 저항값을 실시간으로
측정하는 자동 조절(튜닝) 알고리즘이
적용되어, 시술 부위마다 최적의
에너지가 균일하게 전달됩니다.
피부 표면을 지속적으로 냉각하는 쿨링
시스템이 강화되어, 진피에는 충분한
열이 전달되는 동시에 표피는 화상이나
손상으로부터 안전하게 보호됩니다.
시술 팁에 자동 진동 기능이 도입되어
고주파가 전달될 때 생기는 통증을
효과적으로 분산시켜 시술 과정의
불편함을 현저히 줄여줍니다.
개인의 얼굴형과 피부 두께에 따라 내게 맞는 치료 부위,
팁 사용, 에너지 등을 고려하여 시그니처 써마지를 진행합니다.
피부 진피 속부터 채워지는
콜라겐 합성 증가
피부 결, 모공, 피부톤 등의
전반적인 피부문제 개선
안정적인 고주파 에너지를 통한
피부 탄력 증대 효과
BEFORE & AFTER
눈으로 보여지는 확실한 결과로 증명합니다.
고민하는 이유가 통증이라면?
더퍼스트만의 통증 케어 시스템
다양한 마취 솔루션
수면마취, 무통마취, 연고마취, 신경마취
솔루션이 준비되어 개인 맞춤 통증 케어 가능
STEP 1
개인별 얼굴형과 니즈에 맞춰
1차 디자인을 진행합니다.
STEP 2
앞선 상담과 분석 내용을 토대로
어느 부위에 얼마나의 에너지로 시술할지
디테일한 계획을 세웁니다.
STEP 3
커스텀 써마지 리포트를 토대로
당신에게 필요한 써마지 시술을 진행합니다.
더퍼스트에서는 써마지 본사 인증을 받은 정품만을 사용하여 시술합니다.
시술 직전 고객이 직접 확인할 수 있게 팁을 오픈하고,
정확한 샷수를 소진해 보다 안전하게 최상의 효과를 얻을 수 있습니다.
더퍼스트 써마지 리포트
써마지 정품 보증서
재활용 불가한 개인별 팁
피부가 얇고 민감한 편이거나, 탄력 저하·잔주름·모공 등이 복합적으로 고민되는 분들께 특히 추천됩니다.
더퍼스트피부과에서는 피부 타입과 두께를 정밀 진단 후 개인에 맞춘 팁과 에너지로 설정하여 보다 섬세한 결과를 추구합니다.
최신 버전인 써마지 FLX는 통증을 줄여주는 쿨링 및 진동 기능이 내장돼 있어 예전보다 편안하게 받을 수 있습니다.
또한, 수면마취라고도 불리는 의식하 진정마취와 무통수액을 통한 마취까지 하고 있어 통증에 대한 걱정을 크게 하지 않으셔도 됩니다.
더퍼스트피부과 부산본점은 써마지FLX를 2대 보유하고 있으며, 부산울산경남에서 유일하게 써마지 마스터 5인이 있는 피부과입니다.
본원에서 써마지 시술 후 만족도 96%로 많은 후기들과 리뷰에서 만족도를 확인하실 수 있습니다.
궁금하신 점이 있으신가요? 지금 바로 문의주세요!
카카오톡 상담써마지 복합 솔루션.
완벽한 시너지를 위해
잔주름 개선
레티젠 + 써마지
건조하고 거친 피부
스킨부스터 + 써마지
얼굴 라인 관리
보톡스 + 써마지
풍부한 임상데이터의 피부전문가
부산 최대 300평 규모
압도적인 시술량
독보적인 시술 결과
개인정보 취급방침
close제1장 총칙
제1조 목적
이 약관은 본 의원에서 제공하는 서비스 이용조건 및 절차에 관한 사항과 기타 필요한 사항을 더퍼스트 피부과 이용자의 권리, 의미 및 책임사항 등을 규정함을 목적으로 합니다.
제2조 약관의 효력과 변경
(1) 이 약관은 이용자에게 공시함으로서 효력이 발생합니다.
(2) 본 의원은 사정 변경의 경우와 영업상 중요사유가 있을 때 약관을 변경할 수 있으며, 변경된 약관은 전항과 같은 방법으로 효력이 발생합니다.
제3조 약관 외 준칙
이 약관에 명시되지 않은 사항이 관계법령에 규정되어 있을 경우에는 그 규정에 따릅니다.
제2장 회원 가입과 서비스 이용
제1조 회원의 정의
회원이란 본 의원에서 회원으로 적합하다고 인정하는 일반 개인으로 본 약관에 동의하고 서비스의 회원가입 양식을 작성하고 'ID'와 '비밀번호'를 발급받은 사람을 말합니다.
제2조 서비스 가입의 성립
(1) 서비스 가입은 이용자의 이용신청에 대한 본 의원의 이용승낙과 이용자의 약관내용에 대한 동의로 성립됩니다.
(2) 회원으로 가입하여 서비스를 이용하고자 하는 희망자는 본 의원에서 요청하는 개인 신상정보를 제공해야 합니다.
(3) 이용자의 가입신청에 대하여 본 의원에서 승낙한 경우, 본 의원은 회원 ID와 기타 본 의원에서 필요하다고 인정하는 내용을 이용자에게 통지합니다.
(4) 가입할 때 입력한 ID는 변경할 수 없으며, 한 사람에게 오직 한 개의 ID가 발급됩니다.
(5) 본 의원은 다음 각 호에 해당하는 가입신청에 대하여는 승낙하지 않습니다.
가. 다른 사람의 명의를 사용하여 신청하였을 때
나. 본인의 실명으로 신청하지 않았을 때
다. 가입 신청서의 내용을 허위로 기재하였을 때
라. 사회의 안녕과 질서 혹은 미풍양속을 저해할 목적으로 신청하였을 때
제3조 서비스 이용 및 제한
(1) 서비스 이용은 회사의 업무상 또는 기술상 특별한 지장이 없는 한 연중무휴, 1일 24시간을 원칙으로 합니다.
(2) 전항의 서비스 이용시간은 시스템 정기점검 등 본 의원에서 필요한 경우, 회원에게 사전 통지한 후 제한할 수 있습니다.
(3) 서비스 내용 중 온라인상담은 답변하는 전문의사의 개인사정에 따라 1일 24시간 서비스가 불가능 할 수도 있습니다.
제4조 서비스의 사용료
(1) 서비스는 회원으로 등록한 모든 사람들이 무료로 사용할 수 있습니다.
(2) 본 의원에서 서비스를 유료화할 경우 유료화의 시기, 정책, 비용에 대하여 유료화 실시 이전에 서비스에 공시하여야 합니다.
제3장 서비스 탈퇴, 재가입 및 이용 제한
제1조 서비스 탈퇴
(1) 회원이 서비스의 탈퇴를 원하면 회원 본인이 직접 전자메일을 통해 운영자에게 해지 신청을 요청해야 합니다.
(2) 탈퇴 신청시 본인임을 알 수 있는 이름, 주민등록번호, ID, 전화번호, 해지사유를 알려주면, 가입기록과 일치 여부를 확인한 후 가입을 해지합니다.
(3) 탈퇴 여부는 기존의 ID와 비밀번호로 로그인이 되지 않으면 해지된 것입니다.
제2조 서비스 재가입
(1) 제1조에 의하여 서비스에서 탈퇴한 사용자가 재가입을 원할 경우, 회원 본인이 직접 전자메일을 통해 운영자에게 재가입을 요청하면 됩니다.
(2) 재가입 요청시 본인임을 알 수 있는 이름, 주민등록번호, ID, 전화번호를 알려주면 재가입 처리가 이루어집니다.
(3) 기존의 ID와 비밀번호로 로그인이 되면 재가입이 이루어진 것입니다.
제3조 서비스 이용제한
본 의원은 회원이 다음 사항에 해당하는 행위를 하였을 경우, 사전통지 없이 이용계약을 해지하거나 기간을 정하여 서비스 이용을 중지할 수 있습니다.
가. 공공 질서 및 미풍 양속에 반하는 경우
나. 범죄적 행위에 관련되는 경우
다. 국익 또는 사회적 공익을 저해할 목적으로 서비스 이용을 계획 또는 실행할 경우
라. 타인의 ID 및 비밀번호를 도용한 경우
마. 타인의 명예를 손상시키거나 불이익을 주는 경우
바. 같은 사용자가 다른 ID로 이중 등록을 한 경우
사. 서비스에 위해를 가하는 등 건전한 이용을 저해하는 경우
아. 기타 관련 법령이나 본 의원에서 정한 이용조건에 위배되는 경우
제4장 서비스에 관한 책임의 제한
제1조 온라인상담
(1) 본 의원은 서비스의 회원 혹은 사용자들의 상담내용이 상담의사와 서비스 관리자를 제외한 제3자에게 유출되지 않도록 최선을 다해 보안을 유지하려고 노력합니다. 그러나 다음과 같은 경우에는 상담 내용 공개 및 상실에 대하여 본 의원의 책임이 없습니다.
가. 사용자의 부주의로 암호가 유출되어 상담내용이 공개되는 경우
나. 사용자가 '삭제' 기능을 사용하여 상담을 삭제하였을 경우
다. 천재지변이나 그 밖의 본 의원에서 통제할 수 없는 상황에 의하여 상담내용이 공개되거나 상담내용이 상실되었을 경우
(2) 회원이 신청한 상담에 대한 종합적이고 적절한 답변을 위하여 주치의사, 각과 전문의사들은 상담내용과 답변을 참고할 수 있습니다.
(3) 서비스에서 진행된 상담의 내용은 개인 신상정보를 삭제한 다음 아래와 같은 목적으로 사용할 수 있습니다.
가. 학술활동
나. 인쇄물, CD-ROM 등의 저작활동
다. FAQ, 추천상담 등의 서비스 내용의 일부
(4) 상담에 대한 답변내용은 각 전문의사의 의학적 지식을 바탕으로 한 주관적인 답변으로 본 의원의 서비스 의견을 대표하지는 않습니다.
(5) 아래와 같은 상담을 신청하는 경우에는 온라인상담 전체 또는 일부 제공하지 않을 수 있습니다.
가. 같은 내용의 상담을 반복하여 신청하는 경우
나. 상식에 어긋나는 표현을 사용하여 상담을 신청하는 경우
다. 진단명을 요구하는 상담을 신청하는 경우
라. 치료비, 검사비, 의약품 가격 등에 대하여 상담을 신청하는 경우
제2조 정보 서비스
(1) 서비스에서 제공되는 내용은 개략적이며 일반적인 내용이고 정보제공만을 위해 제공됩니다. 서비스에서 제공되는 정보나 상담은 절대로 의학적인 진단을 대신할 수 없습니다. 서비스에서 제공되는 정보나 상담은 결코 의학적 진단, 진료 혹은 치료를 대신하려는 목적이 아닙니다. 회원의 건강상태에 관한 의문점이나 걱정이 있다면 실제 전문의사를 찾아 진단을 받아야 합니다. 어떠한 경우에도 서비스에서 제공하는 정보때문에 의사의 진단을 무시하거나, 진단, 진료 혹은 치료받는 것을 미루지 마십시오.
(2) 본 의원은 서비스에서 언급된 어떠한 특정한 검사나 제품 혹은 치료법도 추천하지 않습니다. 서비스에 표현된 의견은 모두 해당 상담의사의 의견입니다. 본 의원은 서비스에서 제공된 어떠한 문서나 상담의 내용에 대해서도 책임을 지지 않습니다.
(3) 본 서비스의 정보, 서비스에 참여하는 전문의사 혹은 서비스를 사용하는 다른 회원이나 방문객의 의견을 받아들이는 것은 전적으로 사용자의 판단에 따르는 것입니다. 따라서 본 의원에서는 회원에게 제공된 어떠한 제품의 활용, 정보, 아이디어 혹은 지시로부터 비롯하는 어떠한 손해, 상해 혹은 그 밖의 불이익에 대한 책임을 지지 않습니다.
제5장 의무
제1조 회사의 의무
(1) 본 의원은 특별한 사정이 없는 한 회원이 서비스를 이용할 수 있도록 합니다.
(2) 본 의원은 이 약관에서 정한 바에 따라 계속적, 안정적으로 서비스를 제공할 의무가 있습니다.
(3) 본 의원은 회원으로부터 소정의 절차에 의해 제기되는 의견에 대해서 적절한 절차를 거쳐 처리하며, 처리시 일정기간이 소요될 경우 회원에게 그 사유와 처리 일정을 알려주어야 합니다.
제2조 회원정보 보안의 의무
(1) 회원의 ID와 비밀번호에 관한 모든 관리의 책임은 회원에게 있습니다.
(2) 회원은 서비스의 일부로 보내지는 서비스의 전자우편을 받는 것에 동의합니다.
(3) 자신의 ID가 부정하게 사용된 경우, 회원은 반드시 본 의원에 그 사실을 통보해야 합니다.
(4) 본 의원은 개인의 신분 확인이 가능한 정보를 회원 혹은 사용자의 사전허락 없이 본 의원과(와) 관계가 없는 제3자에게 팔거나 제공하지 않습니다. 그러나 본 의원은 자발적으로 제공된 등록된 정보를 다음과 같은 경우에 활용할 수 있습니다.
가. 회원들에게 유용한 새 기능, 정보, 서비스 개발에 필요한 정보를 개발자들에게 제공하는 경우
나. 광고주들에게 서비스 회원과 사용자 집단에 대한 통계적(결코 회원 개개인의 신분이 드러나지 않는) 정보를 제공하는 경우
다. 회원과 사용자 선호에 따른 광고 또는 서비스를 실시하기 위하여 회사에서 사용하는 경우
(5) 게시판 등의 커뮤니케이션 공간(이하 커뮤니케이션 공간)에 개인신분 확인이 가능한 정보(사용자 이름, ID, e-mail 주소 등)가 자발적으로 공개될 수 있습니다. 이런 경우 공개된 정보가 제3자에 의해 수집되고, 연관되어지며, 사용될 수 있으며 제3자로부터 원하지 않는 메시지를 받을 수도 있습니다. 제3자의 그러한 행위는 본 의원에서 통제할 수 없습니다. 따라서 본 의원은 본 의원에서 통제할 수 없는 방법에 의한 회원정보의 발견 가능성에 대해 아무런 보장을 하지 않습니다.
(6) 본 의원은 서비스의 사용의 편의를 위하여 Cookie 기술을 사용할 수 있습니다. Cookie란 다시 방문하는 사용자를 파악하고 그 사용자의 계속된 접속과 개인화된 서비스 제공을 돕기 위해 웹사이트가 사용하는 작은 텍스트 파일입니다. 일반적으로 Cookie는 Cookie를 부여한 사이트 밖에서는 의미가 없는 유일한 번호를 사용자에게 부여하는 방식으로 작동합니다. Cookie는 사용자의 시스템 내부로 침입하지 않으며 사용자의 파일에 위험하지 않습니다. 본 의원은 서비스의 광고주나 관련있는 제3자가 Cookie를 사용하는 것을 막을 수 없습니다. 회원 혹은 사용자가 Cookie를 사용한 정보수집을 원하지 않는 경우에는 웹 브라우저에서 Cookie를 받아들일지 여부를 조절할 수 있습니다. 하지만 서비스(특히, 개인화된 정보)가 제대로 작동하기 위해서는 Cookie의 사용이 필요할 수 있습니다.
(7) 본 의원은 회원의 정보를 서비스 또는 회사와 업무제휴 업체간에 상호 제공/활용할 수 있습니다.
제6장 분쟁조정
(1) 본 이용약관에 규정된 것을 제외하고 발생하는 서비스 이용에 관한 제반문제에 관한 분쟁은 최대한 쌍방합의에 의해 해결하도록 한다.
(2) 서비스 이용으로 발생한 분쟁에 대해 소송이 제기될 경우 회사의 소재지를 관할하는 법원을 관할법원으로 합니다.
부칙 이 약관은 2023년 09월 01일 부터 시행합니다.